Why brain aging differs significantly across individuals

Researchers are gaining a deeper understanding of how the human brain ages and which factors may promote healthier cognitive aging, such as regular physical activity, avoiding smoking, speaking a second language, or playing musical instruments.
Certain aspects of cognitive function in later life may be linked to childhood test scores around the age of 11, according to a review published this Thursday in the journal Genomic Psychiatry by Genomic Press New York.
The study, based on data from the Lothian Birth Cohorts in Scotland, indicates that up to half of the variation in cognitive aging—why some individuals experience more significant cognitive decline than others—could be rooted in their childhoods.
Some adult lifestyle choices still seem to be associated with better cognitive performance and slower brain aging.
"Our findings suggest that staying physically and mentally active, managing vascular risk factors (like high blood pressure, cholesterol, smoking, and BMI), speaking a second language, playing musical instruments, and having a brain that appears younger all show small but measurable links to cognitive health," said Simon Cox, a co-author of the study and director of the Lothian Birth Cohort Studies at the University of Edinburgh, in an email.
"We believe the idea of 'Marginal Gains, Not Magic Bullet' captures the essence of better cognitive aging: instead of a single factor dramatically altering risk, we see many interconnected factors each contributing a little to cognitive outcomes," Cox explained.
He noted that these lifestyle factors, when considered together, could account for about 20% of the variability in cognitive decline observed between individuals aged 70 to 82.
The Lothian Birth Cohorts include data from two studies of older Scottish adults: one group born in 1921 and another in 1936. All participants took a cognitive test at age 11 and were reassessed in their 70s, 80s, and 90s for cognitive abilities and fitness, among other factors.
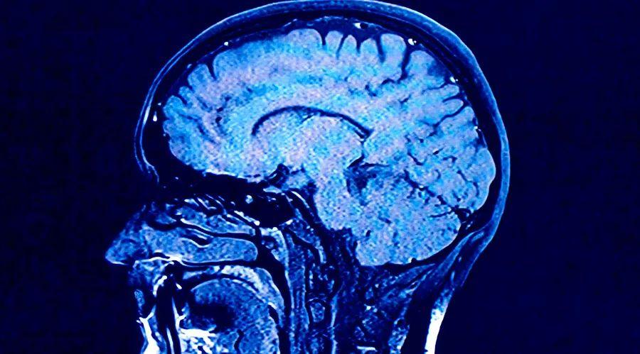
"We first conducted MRI scans of participants when they were 73 years old. What struck me most about the study was the vast differences between their scans," Cox wrote.
"Even though they were all the same age, some brains appeared perfectly healthy—similar to those of individuals in their 30s or 40s—while others displayed significant shrinkage and damage to the white matter, along with other signs linked to cognitive aging and dementia," he said.
White matter forms the connections between brain cells and the nervous system, enabling communication through nerve signals. Loss or damage to this tissue can impair the brain's ability to process information.
Ultimately, "this study shows that brain aging at 73 is not predetermined, and it strongly encourages us to explore ways to replicate the conditions of those fortunate individuals who reach this age with a healthy brain," Cox concluded.
Older adults with memory as sharp as individuals 20 to 30 years younger are often called cognitive super agers.
"Not all aspects of brain aging occur simultaneously in the same people," Cox explained. "We are now investigating whether different patterns of brain aging are influenced by specific sets of risk factors."
Dr. Richard Isaacson, a researcher focused on the aging brain, found the new paper particularly compelling.
"It provides a clear and practical overview of why this kind of research is so challenging, along with valuable advice on how to maximize the impact of long-term studies like this one," said Isaacson, who directs research at the Institute for Neurodegenerative Diseases in Florida, though he was not part of the study.
A large body of research highlights key lifestyle differences that may impact how the brain ages. For example, poor sleep is a major risk factor for cognitive decline, and mental health conditions like depression are also linked to a higher risk of dementia.
Engaging in regular physical activity, such as walking or cycling three times a week, has been shown to improve cognitive function, according to a 2018 study. A heart-healthy diet can further help slow brain aging and reduce dementia risk. Additionally, a 2020 study suggests that daily meditation may also help slow brain aging.
Experts have developed a tool called the Brain Care Score, and a study published last year found that it could be useful in assessing the risk of dementia or stroke as individuals age.
The 21-point score evaluates a person's health based on 12 factors related to physical, lifestyle, and social-emotional aspects of well-being. Published in the journal *Frontiers in Neurology*, the study found that individuals with higher scores were less likely to experience dementia or stroke later in life.
The 12 factors assessed include blood pressure, blood sugar, cholesterol levels, body mass index, nutrition, alcohol intake, smoking, aerobic exercise, sleep quality, stress levels, social connections, and finding a sense of meaning or purpose in life.
Subscribe to Dinogo Health's weekly newsletter
For anyone looking to improve the health of their aging brain, Isaacson recommends visiting your doctor at least once or twice a year to discuss your overall physical health, vascular health, and any chronic conditions.
"While these factors may not directly cause Alzheimer's, they can accelerate cognitive aging and decline. That's why it's crucial to see your primary care doctor regularly, check your blood pressure, and know your numbers—such as blood pressure, fasting blood sugar, and cholesterol levels," Isaacson explained. "Additionally, monitoring bone health, muscle strength, and grip strength is essential, as these physical factors are strong indicators of brain health over time."

1

2

3

4

5
Evaluation :
5/5